猴痘mpox是天花病毒的陰魂嗎?預防之前先了解(11/29更新)

11/29更新:WHO正式宣布,將猴痘更名為「mpox」,以避免現有名稱所帶來的污名化。

世界衛生組織週一發布聲明中說:「2022上半年,猴痘疫情擴大時,我們陸續收到來自各地的反應,稱此疾病名引發了種族主義和污名化語言。」經與全球專家進行一系列討論後,世衛組織將開始使用一個新的名字「mpox」取代猴痘之名。

世衛組織表示,在國際疾病分類中,仍能以「猴痘」進行檢索,以便能查找相關資訊;此外,有一年的緩衝時間,讓兩個名稱能夠同時使用,以利更新資訊。

美國衛生與公眾服務部部長(U.S. Department of Health and Human Services Secretary)澤維爾·貝塞拉(Xavier Becerra)在聲明中說:「我們必須盡我們所能突破障礙,而減少與疾病相關的恥辱感是我們終結 mpox 工作的關鍵一步。」


07/27更新:聯合國世界衛生組織秘書長譚德塞(Tedros Adhanom Ghebreyesus)於7月23日宣布,因猴痘的病例數快速增加且全球75個國家受到影響,在召開緊急委員會評估後,將猴痘疫情列為「國際關注公共衛生緊急事件」(Public Health Emergency of International Concern,PHEIC),此為世界衛生組織最高等級的公衛警報。

◆ 原文上線時間:2022/07/06

◆ 增修時間:07/27 更新進度;11/29更新WHO宣布正式更名為mpox

文章插圖

自2022年5月起,猴痘迅速在全世界傳播。圖攝於2022年5月23日,檢測管上寫著猴痘陽性。

路透社 / 達志影像null

COVID-19還沒走 猴痘緊跟在後

全球疫情一波未平一波又起,2022年5月初,猴痘(monkeypox)開始傳播於世界各地,遍及歐洲、北美、中東、亞洲與澳洲。截至7月6日為止,全球已有50個國家出現病例,並累積約6,100人確診和1例死亡。

台灣也在6月24日發現首例猴痘個案。該病例是一位25歲男性學生,今年6月自德國返國後,在隔離期間出現發燒、紅疹、鼠蹊部淋巴腫大等症狀,經醫師評估與送檢後確認感染猴痘。目前,亞太地區除了台灣以外,新加坡、南韓也都有病例傳出。

猴痘在全世界迅速的傳播引起國際公共衛生專家們的警覺,聯合國世界衛生組織(World Health Organization,WHO)官方也警告,猴痘疫情在非主流國家具有真實的風險,需要多加戒備,沒有自滿餘地。此前,猴痘主要傳染於成年男性間,但至今已經演變出少數家戶傳染和首例兒童病例。

許多專家坦承,對於猴痘的研究尚在起步階段,而我們究竟對它認識多少、它為什麼傳播如此迅速,未來會對我們的生活帶來多大的影響?專家認為,一切都還在釐清中。

雖然叫猴痘 但囓齒動物才是主要傳播源

對科學家來說,猴痘病毒並不是全新的病毒,它是天花病毒的近親,至少在1950年代就已經發現它的存在。

1958年,實驗室在研究用的猴子身上觀察到疑似天花的疹子,於是就替這種疾病命名為猴痘。不過,雖然叫猴痘,但猴子並非是這個病毒的主要宿主,事實上,猴痘主要傳播於齧齒動物之間,像是老鼠、松鼠或非洲巨鼠。

從過去的紀錄顯示,最早的猴痘案例發生在1970年的剛果民主共和國,病人是一位9個月大的男性嬰孩。從那時候起,猴痘便傳染至11個非洲國家,主要流行在中非和西非國家的農村地區。

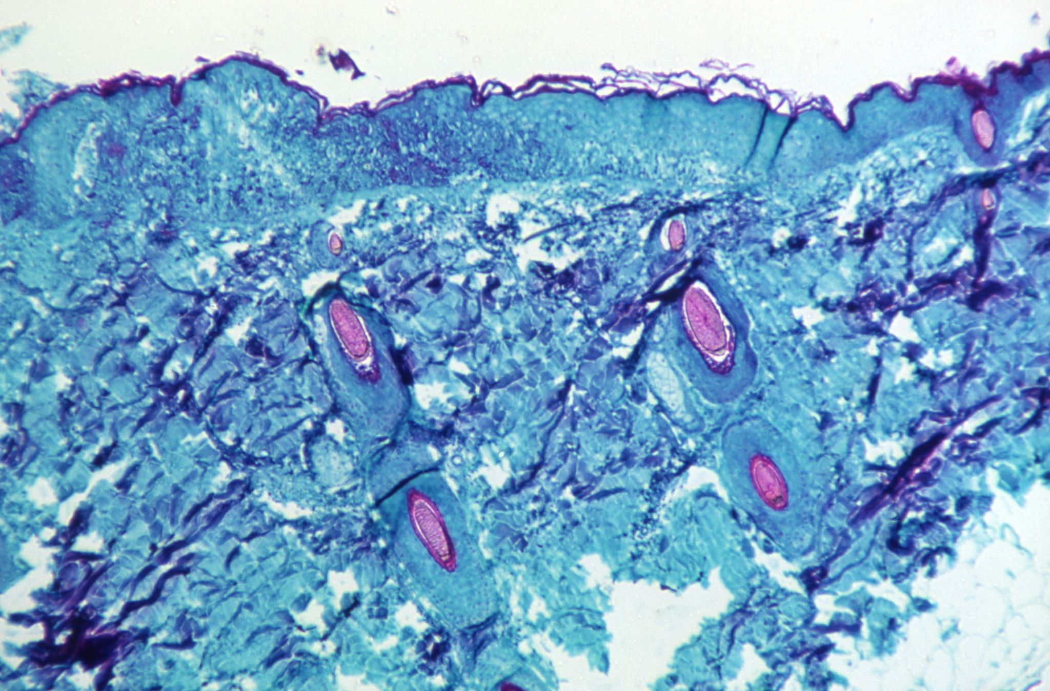
文章插圖

圖為在顯微鏡下感染猴痘的猴子皮膚組織切片。

路透社 / 達志影像null

怎麼感染?猴痘的傳播途徑是什麼?

根據WHO發布的資訊,猴痘的傳染力不如天花,在人與人之間不易傳播,需要長時間密切接觸才會發生。它的一般傳播途徑是通過接觸到被感染者的體液、飛沫、猴痘皮疹的膿瘡或結痂,或沾有類似體液的物品,像是貼身衣物或床單而染病。

而人與動物之間的傳播,則是透過咬傷或抓傷,例如直接接觸到被感染的野生動物、靈長類動物、松鼠的體液而受到感染。

多久會發病?染疫後有哪些症狀?

一般情況下,在感染到猴痘病毒後約7-14天會出現症狀,但潛伏期也可能會長達5-21天。目前,科學家認為,潛伏期中的猴痘不具有傳染力。

感染到猴痘的人的發病症狀可分為兩個階段,第一階段是出現發燒、頭痛、頸部淋巴結腫大、背痛、肌肉痠痛、疲勞;第二階段是在發燒後的1-3天,臉部與四肢會冒出紅斑,比如手部、腳底、口腔、鼠蹊部和眼結膜附近;接著這些紅斑會變成微微凸起的丘疹,並發展成小水泡,長出的數量大約在數個到數千個之間,而這些皮膚病灶最終會結痂並且脫落。

也由於猴痘屬於一種「自限性疾病」(self-limited diseases),病程大約持續2-4周就會結束。這類疾病的症狀不會持續太長,發展到一定程度後就會自動停止,不論有沒有經過治療,都可能完全康復。

文章插圖

丹麥生物技術公司「巴伐利亞北歐」(Bavarian Nordic)是目前唯一一家核准生產猴痘疫苗的公司。圖為一名工作人員展示顯微鏡下的疫苗病毒。(點擊右側看更多)

路透社 / 達志影像null
文章插圖

圖為巴伐利亞北歐的副總裁懷汀泰勒(Heinz Weidenthaler),巴伐利亞北歐在德國慕尼黑(Munich)也有分部。

路透社 / 達志影像null

猴痘病毒加速進化 可能出現更大傳播

目前,科學家發現猴痘基因可分為兩群(clades),一種是西非的猴痘病毒遺傳分群,另一種是主要流行於剛果地區的中非病毒遺傳分群。而今年爆發在世界各地的是前者,對人體影響較小,屬於比較溫和的病毒株,致死率僅1%;相較之下,後者的致死率較高,大約在10%左右。

但此次令世界衛生組織與專家頭痛的,是猴痘病毒的變異速度。

猴痘為正痘病毒屬(Orthopoxvirus),與其他病毒相比,這類病毒較為穩定,不易變異。但近期科學家也察覺到,世界各地所分享的猴痘病毒基因序列,揭示了奇怪的訊息——病毒在短時間內變異得太快。這也表示猴痘病毒正在不斷地進化,變得更有效率地在人群中傳播。

而猴痘病毒為什麼變異得如此迅速?瑞士巴塞爾大學(University of Basel)的計算生物學家奈爾(Richard Neher)提供了一種解釋:猴痘病毒其實在人類群體中傳播許久,只是一直沒有被留意。奈及利亞2017年爆發了猴痘疫情,疫情至今沒有消解。奈及利亞的衛生部門過去曾多次向各國尋求協助,希望各國幫忙他們面對猴痘病毒,然而國際對此從未有太大的關注。

奈爾還有另一個解釋:因為猴痘病毒是人畜共通的疾病,可能病毒一度傳回到動物身上,並在動物身上不斷變異後,又回傳給人類。

猴痘怎麼治療?打疫苗有用嗎?

目前認為注射疫苗能抵禦猴痘,而接種過俗稱牛痘的天花疫苗者,無論是在感染前或感染後的幾日內注射,都對猴痘的保護力有85%;不過,也因為世界衛生組織在1980年宣布天花已經被完全根除,所以70年代之後,大多數的接種計畫都已停擺。

全球現在僅有丹麥生物技術公司「巴伐利亞北歐」被核准生產猴痘疫苗,而這款疫苗事實上也是一種新型天花疫苗。目前世界各國如北美、歐洲、亞洲各國都與巴伐利亞北歐接洽,而這款疫苗在各國有不同稱呼,在歐洲被稱為Imvanex疫苗、在加拿大被稱為Imvamune、在美國則被稱為Jynneos。

巴伐利亞北歐總裁索倫森(Rolf Sass Sorensen)近期在接受《法新社》採訪時臉上止不住笑意地說:「我們在2019年獲得批准,當時只賣出幾百劑疫苗,但是一夕之間,這些疫苗突然關乎到全世界的健康。」

索倫森表示,巴伐利亞北歐現在擁有年產3,000萬劑疫苗的能力,他有信心滿足全球的需求。

除了疫苗外,其他還有一些藥物可供治療,如治療天花時使用的抗病毒藥物Tecovirimat,和多用在治療愛滋病病毒引起的視網膜發炎的西多福韋(cidofovir)與抗病毒藥物布林西多福韋(Brincidofovir)。

文章插圖

圖為世界衛生組織秘書長譚德塞,他在記者會發言前取下臉上的口罩。圖攝於2021年12月,總部瑞士日內瓦(Geneva)。

美聯社 / 達志影像null

擔心加深歧視 WHO承諾會盡快替猴痘改名

隨著猴痘病毒傳播到全球,關於猴痘的報導也變多,世界衛生組織在6月15日緊急發布聲明,表示會為猴痘重新命名。世界衛生組織秘書長譚德塞說道:「我們正在與來自世界各地的專家、夥伴合作,為猴痘病毒、病毒株和它引起的疾病名稱改名。」

世界衛生組織認為,現在的猴痘不符合世衛建議的避免使用地理區和動物作為疾病名稱的指引。此舉是因為6月初有許多科學家集體提出報告,認為各國主流媒體與一些科學家將猴痘病毒的爆發與西非國家或奈及利亞做出了連結,包含將病毒株名稱命名為西非的遺傳分群、中非的遺傳分群。該報告寫道:「在全球流行的情況下,繼續提及『非洲』字眼或以此為病毒命名,不只用字遣詞上不夠精確,也會帶來歧視與汙名。」

科學家表明,希望猴痘也能和COVID-19一樣使用PANGO的命名系統,避免使用到會帶來負面指涉的地名、動物名稱。科學家指出,因為歐洲沒有野生的非人類靈長類動物,猴子與猿科動物多半出現在非洲、亞洲和中南美洲,因而人們提到猴子時大多會聯想到位於地球南部的國家,特別是非洲。

5月時,非洲外國記者協會(Foreign Press Association of Africa)就多次要求西方媒體不要再使用以非洲人罹患猴痘的照片作為報導美國和英國疫情的圖片。一些科學家也強調,此次猴痘流行的皮疹與過往非洲典型病例的情形有很大的不同,持續使用那些照片只會造成更多的誤解。

文章插圖

地球圖輯隊null

我們為您在DQ飛行船預留了VIP位子,期待您登船贊助DQ

延伸閱讀

收起全部

參考資料

展開更多
  1. Understanding Monkeypox and How Outbreaks Spread
  2. Monkeypox virus mutations 'challenging' what we know
  3. Taiwan confirms first imported case of monkeypox
  4. What is monkeypox and should you be worried?
  5. Monkeypox outbreak: WHO working on sexual contact theory, top adviser says
  6. Where Did Monkeypox Originate and How Do You Get It?
  7. WHO monkeypox emergency committee to reconvene ‘shortly’ as cases triple in Europe: It’s a ‘fast-moving outbreak that with every hour, day, and week is extending its reach’
  8. Monkeypox Outbreak Poses ‘Real Risk’ to Public Health, W.H.O. Official Says
  9. How Worried Should We Be About Monkeypox?
  10. WHO to rename monkeypox virus to avoid discrimination
  11. Monkeypox outbreak: WHO working on sexual contact theory, top adviser says
  12. Scientists Zero In on Origins of the Monkeypox Outbreak
  13. What to Know About Monkeypox
  14. Yes, monkeypox is a real threat — but risk level varies
  15. Monkeypox Models Suggest We Have No Idea What Outbreak Holds
  16. Monkeypox Has Mutated at an Unprecedented Rate with 'Accelerated Evolution'
  17. Monkeypox is not a global emergency for now, says WHO. 3 things we need to know next about how it’s mutating and spreading
  18. What the surprising mutations in the monkeypox virus could indicate about the new outbreak
  19. Bavarian Nordic in talks with many countries over monkeypox vaccine
  20. Monkeypox vaccine maker Bavarian Nordic ready to meet demand
  21. No room for complacency over monkeypox, says WHO
  22. WHO declares global health emergency over monkeypox outbreak
  23. Enhance surveillance, public health measures for monkeypox: WHO
  24. WHO renames monkeypox as ‘mpox’